Suchbegriffe
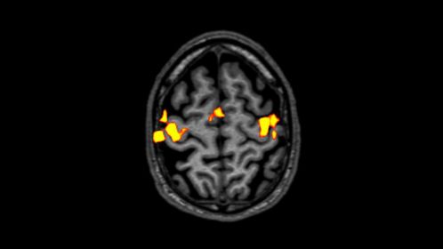
Erweiterte Neurobildgebung mit BOLD-Datenerfassung zur Visualisierung von je nach Tätigkeit aktivierten Bereichen des Gehirns. Die vollständige Integration von Stimulusabgabe und -kontrolle mithilfe von dedizierten ExamCards macht fMRT-Verfahren einfach, zuverlässig und schnell. Das iViewBOLD Analysepaket ermöglicht die Echtzeitverarbeitung von BOLD-Daten zur grafischen Darstellung von funktionellen Aktivierungsmaps.
Kontakt anfordern
Lassen Sie uns in Kontakt treten!
Wie können wir Ihnen weiterhelfen?
Wenn Sie auf diesen Link klicken, verlassen Sie die offizielle Royal Philips („Philips“) Webseite. Alle Links zu Websites von Drittanbieter, die auf dieser Website erscheinen, werden nur zu Ihrer Bequemlichkeit bereitgestellt und stellen in keiner Weise eine Zugehörigkeit oder Billigung der auf diesen verlinkten Websites bereitgestellten Informationen dar. Philips gibt keine Zusicherungen oder Gewährleistungen jeglicher Art in Bezug auf die Websites Dritter oder die darin enthaltenen Informationen ab.
Ich versteheYou are about to visit a Philips global content page
ContinueProdukt anzeigen
Produkt anzeigen
Produkt anzeigen
Mit Ingenia 1.5T können Sie dank hoher Diagnosesicherheit, fortschrittlicher Anwendungen und effizienter Abläufe den Herausforderungen von heute begegnen. dStream sorgt zudem für eine erstklassige Bildqualität in kürzester Zeit, und dank iPatient bietet der Ingenia 1.5T patientenzentrierte Bildgebung – von der Patientenvorbereitung bis zum fertigen Bild.
Produkt anzeigen
Mit Ingenia 3.0T können Sie dank hoher Diagnosesicherheit, fortschrittlicher Anwendungen und effizienter Abläufe den Herausforderungen von heute begegnen. dStream sorgt zudem für eine erstklassige Bildqualität in kürzester Zeit, und dank iPatient bietet der Ingenia 3.0T patientenzentrierte Bildgebung – von der Patientenvorbereitung bis zum fertigen Bild.
Produkt anzeigen
Ein unkomplizierter Umstieg auf digitale Breitband-MRT – Ingenia Besitzer profitieren von herausragender Bildqualität, erstklassigen klinischen Funktionen und effizienten Arbeitsabläufen dank digitaler dStream Breitband-Architektur. Das SmartPath to dStream Upgrade bietet alle Vorteile von dStream, ohne dass eine Vollsystem-Neuinstallation erforderlich wird.
Produkt anzeigen
Wenn Sie auf diesen Link klicken, verlassen Sie die offizielle Royal Philips („Philips“) Webseite. Alle Links zu Websites von Drittanbieter, die auf dieser Website erscheinen, werden nur zu Ihrer Bequemlichkeit bereitgestellt und stellen in keiner Weise eine Zugehörigkeit oder Billigung der auf diesen verlinkten Websites bereitgestellten Informationen dar. Philips gibt keine Zusicherungen oder Gewährleistungen jeglicher Art in Bezug auf die Websites Dritter oder die darin enthaltenen Informationen ab.
Ich versteheYou are about to visit a Philips global content page
ContinueWenn Sie auf diesen Link klicken, verlassen Sie die offizielle Royal Philips („Philips“) Webseite. Alle Links zu Websites von Drittanbieter, die auf dieser Website erscheinen, werden nur zu Ihrer Bequemlichkeit bereitgestellt und stellen in keiner Weise eine Zugehörigkeit oder Billigung der auf diesen verlinkten Websites bereitgestellten Informationen dar. Philips gibt keine Zusicherungen oder Gewährleistungen jeglicher Art in Bezug auf die Websites Dritter oder die darin enthaltenen Informationen ab.
Ich versteheYou are about to visit a Philips global content page
ContinueLand auswählen
Deutschland (Deutsch)Unsere Seite wird am besten mit der neuesten Version von Microsoft Edge, Google Chrome oder Firefox angezeigt.