Lungenscreening gewinnt an Relevanz
Haben Sie Fragen zum Thema Lungenscreening mit Philips?
Schreiben Sie uns gerne eine E-Mail an tobias.stricker@philips.com.



Die Herausforderungen beim Lungenscreening mit CT sind vielfältig.
Um eine möglichst frühe Erkennung bei gleichzeitig niedriger Strahlendosis zu gewährleisten, ist es erforderlich, die Bildqualität auch bei Low-Dose-Protokollen aufrechtzuerhalten.
Lungenstrukturen sind komplex, und kleinste Rundherde (<5 mm) müssen zuverlässig detektiert und eingeordnet werden. Atembewegungen, variierende Lungenfüllung und anatomische Überlagerungen können zu Artefakten führen, die die Diagnose erschweren oder zu unnötigen Folgeuntersuchungen führen.
Durch unsere KI-gestützten Technologien werden Bilder erzeugt, die auch bei sehr niedriger Dosis eine hohe diagnostische Aussagekraft bieten – ohne zusätzliche Hardwareanforderungen.
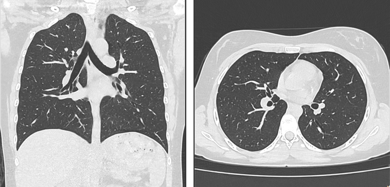
Die Herausforderung der feinen Läsionsdarstellung wird durch Precise Image adressiert, das Bildrauschen reduziert und die Klarheit verbessert.
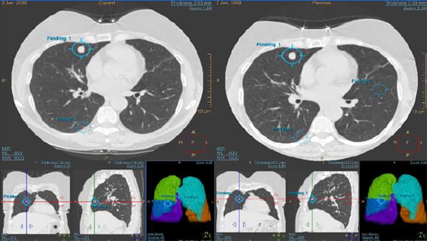
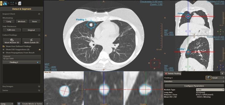
Die Herausforderung der konsistenten Erkennung wird durch strukturierte und automatische Auswertung auf der AVW – Advanced Visualisation Workstation unterstützt (z. B. LungRADS), was die Vergleichbarkeit erhöht und Folgeentscheidungen erleichtert.
Thorax/Abdomen nativ, Pat adipös, CTDI 6,3, DLP 292
Precise Image lässt sich individuell auf Ihre Anforderungen an die Bildqualität anpassen. Wählen Sie aus fünf Leveln – von ‚Smoother‘ bis ‚Sharper‘ – und erleben Sie, wie KI-gestützte Rekonstruktion Bildrauschen reduziert und feine Strukturen noch klarer sichtbar macht. Probieren Sie es aus!
Aufgenommen mit einem Philips CT 5300, CTDIvol [mGy] = 0.7
Aufgenommen mit einem Philips CT 3500

„Precise Image ist ein neuronales Netzwerk, was es uns ermöglicht, die Dosis für den Patienten extrem niedrig zu halten, bei aber gleichbleibender oder sogar besserer Bildqualität zu unserem Vorgänger-CT.“

LiverBoost erkennt automatisch Organe und optimiert die Scanparameter gezielt: Die Leber erhält mehr Dosis für höchste Bildqualität, während sensible Organe wie die Lunge bestmöglich geschont werden – bei gleichbleibender diagnostischer Aussagekraft und schnellem Workflow.
Jede Lunge ist anders. Der DoseRight Index berechnet in Echtzeit den optimalen Dosisbereich für den jeweiligen Patienten, unter Berücksichtigung von Körperbau, Gewebedichte und Region of Interest.→ Das garantiert eine konsistent niedrige Dosis, auch bei wiederholten Untersuchungen im Rahmen eines Screening-Programms.
Die Advanced Visualization Workspace (AVW) von Philips unterstützt Radiologen bei der effizienten Auswertung von Low-Dose-CTs im Rahmen des Lungenscreenings. Dank der Integration des ClearRead-Algorithmus von Riverain werden Lungenknoten schneller erkannt und charakterisiert. Über den Philips AI Manager lassen sich zudem weitere Algorithmen unterschiedlicher Hersteller einsetzen – nahtlos integriert in den klinischen Workflow. So profitieren Anwender von automatischer Lungen- und Lappensegmentierung, standardisierten Workflows nach Lung-RADS oder den Fleischner-Empfehlungen, einem integrierten Risikorechner sowie der automatischen Bereitstellung der Ergebnisse im PACS. Das Ergebnis: konsistente Befunde, höhere diagnostische Sicherheit und spürbare Zeitersparnis.





Mobile CT-Scanner von Philips - Lundenscreening, wo immer Sie es brauchen
You are about to visit a Philips global content page
Continue