Pinnacle³ 09.10 with Auto-Planning

Accelerated IMRT & VMAT planning

Ähnliche Produkte finden

There are many challenges to be faced today in IMRT Planning. It is often a labor-intensive process, generating inconsistent results. There are many steps to IMRT treatment planning - often delaying start of treatment. The process is tedious and repetitive, requiring significant planner/physician interaction. Plan quality varies depending on the experience of the user, creating inconsistencies in treatment. Pinnacle³ Auto-Planning makes this entire process faster, less labor intensive and more reproducible.

Eigenschaften
Simplified workflow || Reduce the total time required

3-step process: Select. Run. Evaluate.

Select a Treatment Technique, run Auto-Planning, and evaluate with Scorecards. This simple, 3-step process reduces the total time required to create high-quality IMRT or SmartArc plans.

3-step process: Select. Run. Evaluate.

Select a Treatment Technique, run Auto-Planning, and evaluate with Scorecards. This simple, 3-step process reduces the total time required to create high-quality IMRT or SmartArc plans.

3-step process: Select. Run. Evaluate.

Select a Treatment Technique, run Auto-Planning, and evaluate with Scorecards. This simple, 3-step process reduces the total time required to create high-quality IMRT or SmartArc plans.
Treatment Techniques || Automate repetitive data entry

Enhance efficiency and standardization

A library of techniques containing typically manually-entered parameters are created by the user only once upon initial setup, and can be edited at any time. Multiple Treatment Techniques can be created to accommodate different practices within the department.

Enhance efficiency and standardization

A library of techniques containing typically manually-entered parameters are created by the user only once upon initial setup, and can be edited at any time. Multiple Treatment Techniques can be created to accommodate different practices within the department.

Enhance efficiency and standardization

A library of techniques containing typically manually-entered parameters are created by the user only once upon initial setup, and can be edited at any time. Multiple Treatment Techniques can be created to accommodate different practices within the department.
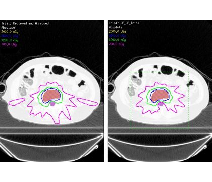
Auto-Planning Engine || Enhance plan quality and consi

Generate high quality plans on the first pass

The Auto-Planning engine optimizes target coverage and OAR sparing. It reduces the need for multiple plan reviews with the physician and physicist, and runs in the background leaving time free for other tasks.

Generate high quality plans on the first pass

The Auto-Planning engine optimizes target coverage and OAR sparing. It reduces the need for multiple plan reviews with the physician and physicist, and runs in the background leaving time free for other tasks.

Generate high quality plans on the first pass

The Auto-Planning engine optimizes target coverage and OAR sparing. It reduces the need for multiple plan reviews with the physician and physicist, and runs in the background leaving time free for other tasks.
Scorecards || Simplify and standardize plan

Reduce the need for multiple plan reviews

Users can create a library of Clinical Goals to assess plan quality and an intuitive user-interface provides at-a-glance information. Scorcards facilitate standardization for plan approvals.

Reduce the need for multiple plan reviews

Users can create a library of Clinical Goals to assess plan quality and an intuitive user-interface provides at-a-glance information. Scorcards facilitate standardization for plan approvals.

Reduce the need for multiple plan reviews

Users can create a library of Clinical Goals to assess plan quality and an intuitive user-interface provides at-a-glance information. Scorcards facilitate standardization for plan approvals.
  • Simplified workflow || Reduce the total time required
  • Treatment Techniques || Automate repetitive data entry
  • Auto-Planning Engine || Enhance plan quality and consi
  • Scorecards || Simplify and standardize plan
Alle Eigenschaften ansehen
Simplified workflow || Reduce the total time required

3-step process: Select. Run. Evaluate.

Select a Treatment Technique, run Auto-Planning, and evaluate with Scorecards. This simple, 3-step process reduces the total time required to create high-quality IMRT or SmartArc plans.

3-step process: Select. Run. Evaluate.

Select a Treatment Technique, run Auto-Planning, and evaluate with Scorecards. This simple, 3-step process reduces the total time required to create high-quality IMRT or SmartArc plans.

3-step process: Select. Run. Evaluate.

Select a Treatment Technique, run Auto-Planning, and evaluate with Scorecards. This simple, 3-step process reduces the total time required to create high-quality IMRT or SmartArc plans.
Treatment Techniques || Automate repetitive data entry

Enhance efficiency and standardization

A library of techniques containing typically manually-entered parameters are created by the user only once upon initial setup, and can be edited at any time. Multiple Treatment Techniques can be created to accommodate different practices within the department.

Enhance efficiency and standardization

A library of techniques containing typically manually-entered parameters are created by the user only once upon initial setup, and can be edited at any time. Multiple Treatment Techniques can be created to accommodate different practices within the department.

Enhance efficiency and standardization

A library of techniques containing typically manually-entered parameters are created by the user only once upon initial setup, and can be edited at any time. Multiple Treatment Techniques can be created to accommodate different practices within the department.
Auto-Planning Engine || Enhance plan quality and consi

Generate high quality plans on the first pass

The Auto-Planning engine optimizes target coverage and OAR sparing. It reduces the need for multiple plan reviews with the physician and physicist, and runs in the background leaving time free for other tasks.

Generate high quality plans on the first pass

The Auto-Planning engine optimizes target coverage and OAR sparing. It reduces the need for multiple plan reviews with the physician and physicist, and runs in the background leaving time free for other tasks.

Generate high quality plans on the first pass

The Auto-Planning engine optimizes target coverage and OAR sparing. It reduces the need for multiple plan reviews with the physician and physicist, and runs in the background leaving time free for other tasks.
Scorecards || Simplify and standardize plan

Reduce the need for multiple plan reviews

Users can create a library of Clinical Goals to assess plan quality and an intuitive user-interface provides at-a-glance information. Scorcards facilitate standardization for plan approvals.

Reduce the need for multiple plan reviews

Users can create a library of Clinical Goals to assess plan quality and an intuitive user-interface provides at-a-glance information. Scorcards facilitate standardization for plan approvals.

Reduce the need for multiple plan reviews

Users can create a library of Clinical Goals to assess plan quality and an intuitive user-interface provides at-a-glance information. Scorcards facilitate standardization for plan approvals.

You are about to visit a Philips global content page

Continue

You are about to visit a Philips global content page

Continue

Unsere Seite wird am besten mit der neuesten Version von Microsoft Edge, Google Chrome oder Firefox angezeigt.