Anatomische Intelligenz wendet adaptive Systemintelligenz mit anatomischen 3D-Modellen auf die Ultraschalldaten eines Patienten an, um schnell und einfach reproduzierbare Ergebnisse zu liefern. Mit fortschrittlichen Funktionen für die Organmodellierung, Erstellung von Schnittbildern und Quantifizierung ermöglicht die Anatomische Intelligenz eine einfachere Durchführung und bessere Reproduzierbarkeit von Ultraschalluntersuchungen und liefert gleichzeitig aussagekräftige klinische Ergebnisse, um den wirtschaftlichen und klinischen Herausforderungen der heutigen Gesundheitsumgebung gerecht zu werden.
Höhere Diagnosesicherheit durch bessere Reproduzierbarkeit mit weniger Arbeitsschritten in geringerer Zeit im Vergleich zu herkömmlichen Verfahren





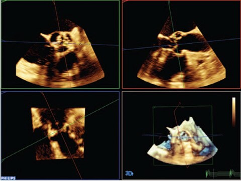
Anatomische Intelligenz kommt bei Philips Bildgebungslösungen wie EPIQ Affiniti und EchoNavigator zum Einsatz und stattet Klinikteams mit ausgereiften aber dennoch benutzerfreundlichen Verarbeitungstools aus. Dabei ermöglicht sie die zuverlässige Identifizierung von anatomischen Strukturen und Anomalien die Beurteilung des Krankheitsstatus die Ermittlung der passenden Behandlung und die Durchführung geführter Eingriffe in kürzester Zeit.

EPIQ 7 Es zeichnet sich durch höchste klinische Leistung zur Erfüllung der hohen Anforderungen in der heutigen kardiologischen Praxis aus.

Das Affiniti 70 Ultraschallsystem ist eine gelungene Kombination aus hervorragender Leistung und optimierten Arbeitsabläufen für eine schnelle und sichere Diagnosestellung.

SmartFusion sorgt für einen besseren Einblick und hohe Sicherheit bei Diagnose und Behandlung; EchoNavigator verknüpft Live-3D-TEE und Echtzeit-Radiographie, damit Implantate in 3D dargestellt und dadurch intuitiv in kürzerer Zeit eingebracht werden kann.
You are about to visit a Philips global content page
Continue