
Neuro Kopfhalter
Ermöglicht die Verringerung von Bewegungsartefakten während des Eingriffs.
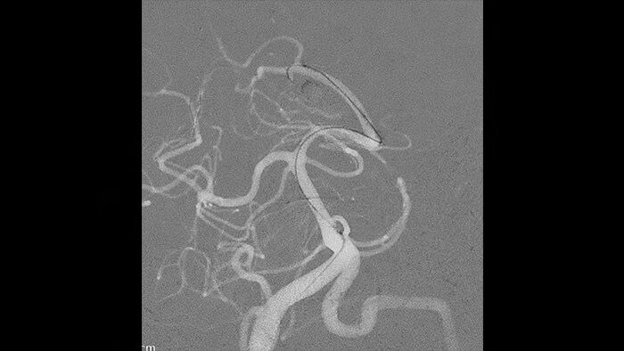
Wenn es darum geht, zu entscheiden, ob ein Patient behandelt oder nur überwacht werden soll, ist es unerlässlich, die besonders komplexen Pathologien der arteriovenösen Malformationen (AVM), von Fisteln und von anderen Malformationen darstellen zu können. Seit Jahrzehnten verlassen sich Neurologen auf die Neurobildgebungslösungen von Philips, um Planungs- und Behandlungsentscheidungen für AVM-Eingriffe zu treffen. Auch jetzt, da nicht rupturierte AVM tendenziell immer häufiger nur überwacht werden, kann unsere spezielle Bildgebungslösung den entscheidenden Unterschied ausmachen.

Bei neuroradiologischen Eingriffen ist eine hervorragende Bildqualität besonders wichtig. Gleichzeitig muss die Sicherheit aller Beteiligten zu jeder Zeit gewährleistet sein. Die Philips Azurion 7 Neurovascular Suite bietet eine speziell für die Neuroradiologie entwickelte Detektorkombination aus einem frontalen 20"-Detektor (Diagonale: 50,8 cm) und einem lateralen 15"-Detektor (Diagonale: 38,1 cm). Die Neurovascular Suite ist somit besonders geeignet, Sie bei Ihren Eingriffen zu unterstützen. Alle relevanten Anwendungen können am Untersuchungstisch über einen einzigen Touchscreen bedient werden, ohne dass Sie das sterile Umfeld verlassen müssen – ein entscheidender Vorteil, wenn Sie schnell informierte Entscheidungen treffen müssen.

Die Möglichkeit zur Darstellung der vaskulären Anatomie und endovaskulärer Materialien im Submillimeter-Bereich verbessert die Erfolgschancen und erhöht die Behandlungssicherheit. SmartCT Soft Tissue bietet CT-artige Bilder, die direkt in der Neurovascular Suite erfasst werden und die Identifizierung diskreter Weichgewebeläsionen erleichtern. Eine Kontrolle des Behandlungserfolgs ist somit noch im Untersuchungsraum möglich. SmartCT Vaso bietet 3D-Bildgebung mit hoher Auflösung, die wichtige zerebrovaskuläre Strukturen darstellt und so die räumliche Beurteilung von Gefäßen im Weichgewebe auf besonders hohem Niveau unterstützt.

SmartCT Angio erstellt in wenigen Sekunden eine volumetrische Ansicht, die eine Beurteilung von Versorgungsarterien, Ableitungsvenen, arterialisierten Venen, Nidus und rupturierten oder nicht rupturierten Pathologien ermöglicht und so die Entscheidungsfindung unterstützt. 3D-Volumina und ihre entscheidenden Details werden mit hoher räumlicher Auflösung und automatischer Bewegungskompensation dargestellt.

Die Möglichkeit zur Darstellung der vaskulären Anatomie im Submillimeter-Bereich verbessert die Erfolgschancen und erhöht die Behandlungssicherheit. SmartCT Vaso bietet 3D-Bildgebung mit hoher Auflösung, die wichtige zerebrovaskuläre Strukturen darstellt und so die räumliche Beurteilung von Gefäßen im Weichgewebe auf besonders hohem Niveau unterstützt.

SmartCT Roadmap bietet eine Live-3D-Bildüberlagerung, die segmentiert werden kann, um Zielgefäß und -läsionen hervorzuheben und so eine schnelle Katheterisierung zu unterstützen. SmartCT Roadmap überlagert 3D-Rekonstruktionen des Gefäßbaums, der Gefäßsegmente oder der Herzschlagbeschriftungen mit Echtzeit-Durchleuchtungsbildern.

Bei der Überwachung von AVM über einen längeren Zeitraum können Subtraktionsartefakte klinische Informationen überdecken. Der automatische Pixelshift von Philips ClarityIQ hilft, möglicherweise irreführende Informationen zu entfernen – in Echtzeit und ohne Eingreifen des Benutzers.

Während der Behandlung können Subtraktionsartefakte die Flussrichtung des flüssigen Embolisats undeutlich machen. Mit dem automatischen Pixelshift unseres ClarityIQ können die Flussrichtung des flüssigen Embolisats und das Erreichen des Ziels dargestellt werden.

Der Klebstoff-Modus von Roadmap Pro filtert bereits embolisierte Gefäße heraus, um den Fokus auf das Injektat und dessen Diffusion zu lenken.

SmartCT Soft Tissue ist eine Erfassungstechnik, die eine CT-artige Darstellung des Weichgewebes in Relation zu anderen Strukturen erzeugt. Anhand der CT-artigen Bilder kann Weichgewebe nach einer AVM beurteilt werden, um das Behandlungsergebnis zu prüfen und mögliche Blutungen zu erkennen, während sich der Patient noch auf dem Untersuchungstisch befindet.
Azurion bietet eine Reihe von Innovationen zur Verbesserung der Arbeitsabläufe, die dem Team während AVM-Eingriffen leichtes und effizientes Arbeiten bei voller Konzentration auf den Patienten ermöglichen und gleichzeitig die Kontrolle über die Strahlendosis erlauben.


Ermöglicht die Verringerung von Bewegungsartefakten während des Eingriffs.
You are about to visit a Philips global content page
Continue
FlexVision Pro ermöglicht Ihnen die volle Kontrolle über alle angeschlossenen Anwendungen, wie das Ultraschallsystem CX50x Matrix und alle interventionellen Tools, direkt am Tisch. So sparen Sie Zeit und vermeiden unnötige Raumwechsel in den und aus dem sterilen Bereich.
You are about to visit a Philips global content page
Continue
Diese Funktion hilft bei der Verringerung der Strahlendosis durch Positionieren des Systems oder Tisches unter Einblendung des letzten Bildes am „Last Image Hold“. So können Sie den nächsten Durchlauf ohne Fluoroskopie vorbereiten.
You are about to visit a Philips global content page
Continue * Söderman M, Holmin S, Andersson T, Palmgren C, Babic D, Hoornaert B. Image noise reduction algorithm for digital subtraction angiography: clinical results. Radiology. 2013 Nov;269(2):553-60. Die Ergebnisse der Dosisreduktion mittels verschiedener Verfahren hängen von der klinischen Fragestellung, dem Patientendurchmesser, der anatomischen Position und der klinischen Praxis ab. Der interventionelle Radiologe muss – bei Bedarf mit Hilfe eines Physikers – die geeigneten Einstellungen für die jeweilige klinische Fragestellung ermitteln. Die Ergebnisse auf Basis des Dosisflächenprodukts bei der DSA-Bildgebung pro Einzelbild stammen aus einer monozentrischen, prospektiven, randomisierten Studie mit 20 Patienten. DSA-Durchläufe für Allura Xper mit sowie für Allura Xper ohne ClarityIQ wurden am frontalen und lateralen Kanal an den jeweils selben Patienten unter den gleichen geometrischen Bedingungen und mit gleichem Field of View und Injektionsprotokoll durchgeführt. Die Bildqualität basiert auf subjektiver Beurteilung (Wert 1 bis 5: 1 = sehr schlecht, 5 = hervorragend; verblindete Befundung durch 3 an der Studie beteiligte Radiologen).
ClarityIQ senkt die Patientendosis von Neuro-DSA*-Verfahren bei gleichbleibender Bildqualität um 75 % gegenüber Systemen ohne ClarityIQ und ist so für eine breite Patientenpopulation geeignet. Die automatische Bewegungskompensation von ClarityIQ entfernt Schädel- und Bewegungsartefakte, was bei der Platzierung kleiner Implantate an der Schädelbasis entscheidend ist.
You are about to visit a Philips global content page
Continue
Bietet Ihnen direkt am Tisch Zugriff auf und volle Kontrolle über präoperative diagnostische Scans, Patientendaten und Planungstools. So sparen Sie Zeit und vermeiden unnötige Raumwechsel in den und aus dem sterilen Bereich. Das Touchscreen-Modul Pro ermöglicht die Anzeige von Bildern und die Bedienung von Anwendungen direkt am Tisch, kombiniert mit der Bedienfreundlichkeit eines Tablet-PCs.
You are about to visit a Philips global content page
Continue
ClarityIQ senkt die Patientendosis von Neuro-DSA1-Verfahren bei gleichbleibender Bildqualität um 75 % gegenüber Systemen ohne ClarityIQ. Die automatische Bewegungskompensation entfernt Schädel- und Bewegungsartefakte, was bei der Platzierung kleiner Implantate an der Schädelbasis entscheidend ist.

Zero Dose Positioning hilft Ihnen auf bequeme Weise die Strahlendosis zu senken. Mit dieser Funktion kann unter Einblendung des letzten Durchleuchtungsbildes (Last Image Hold) sowohl der Tisch verschoben oder in der Höhe angepasst werden als auch das Röntgensystem bewegt werden. Die Veränderung in Bezug auf das letzte Durchleuchtungsbild wird dabei intuitiv am Bildschirm dargestellt. Dadurch kann der nächste Durchlauf ohne erneute Durchleuchtung vorbereitet werden.

Bietet Ihnen direkt am Tisch Zugriff auf und volle Kontrolle über präoperative diagnostische Scans, Patientendaten und Planungstools. So sparen Sie Zeit und vermeiden unnötige Raumwechsel in den und aus dem sterilen Bereich.

ProcedureCards verbessern und standardisieren die Systemeinrichtung und helfen bei der Vermeidung von Vorbereitungsfehlern. Fällt die Wahl auf die AVM ProcedureCard, wird das System auf gewünschte Weise eingerichtet. Es können krankenhausspezifische Aneurysma-Protokolle und/oder Checklisten zu den ProcedureCards hinzugefügt und auf den Monitoren angezeigt werden. Ein Krankenhaus konnte die Vorbereitungszeit im Labor dank ProcedureCards um 12 % verkürzen.2

Zur Fixierung unruhiger Patienten unter leichter Sedierung, um Bewegungsartefakte während des Eingriffs zu reduzieren.
September 21, 2023
Stellen Sie sich den neuen Herausforderungen bei der Behandlung von ischämischen Schlaganfällen.
Mehr erfahrenLösungen von Philips Image Guided Therapy für die Behandlung von zerebralen Aneurysmen – für mehr Behandlungssicherheit bei neurochirurgischen Eingriffen
Mehr erfahren Literatur * Entsprechend den Angaben in der SmartCT Gebrauchsanweisung.
You are about to visit a Philips global content page
Continue